大塚たまみ矯正歯科では 咬み合わせのみならずお顔立ちの改善も矯正治療計画に含んでまいります。池袋や巣鴨、文京区、板橋区付近で矯正歯科をお探しの方は、池袋よりひとつ隣駅の大塚たまみ矯正歯科へご相談ください。
池袋や巣鴨、文京区、板橋区付近の矯正歯科なら大塚たまみ矯正歯科をご利用ください
池袋や巣鴨、文京区、板橋区付近の大塚たまみ矯正歯科では、患者さま個々の咬み合わせやお顔立ちについてご説明いたします。患者様のお悩みを細かくしっかりとお聞きしてまいります。
歯並びやお顔立ちでお悩みがありましたら、巣鴨駅や池袋よりひとつ隣駅の大塚たまみ矯正歯科へご相談ください。
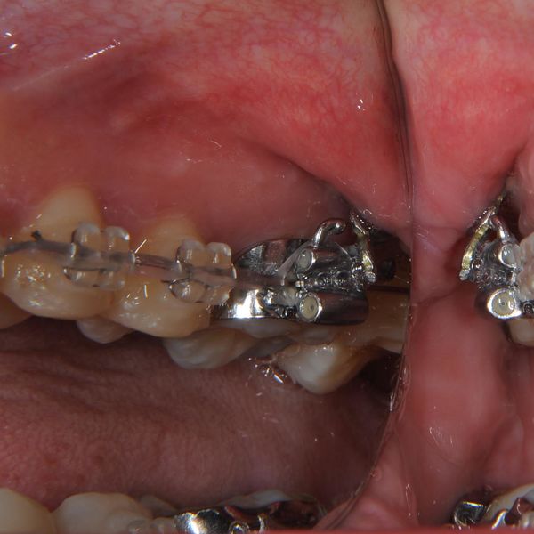
歯科矯正用アンカースクリュー(デュアル・トップオートスクリュー)を利用した下顎反時計周りオートローテーションを行う矯正歯科
日本矯正歯科学会認定医女医がおります
歯科矯正用アンカースクリュー(デュアル・トップオートスクリュー)を利用した下顎の反時計周りオートローテーションを行う矯正歯科をお探しの方は、巣鴨駅や池袋よりひとつ隣駅の大塚たまみ矯正歯科へご相談ください。
大塚たまみ矯正歯科では、20年以上矯正治療に携わってきた院長が患者様ごとで様々な矯正計画を立案いたします。精密検査を基に、咬み合わせとお顔立ちの改善を行ってまいります。
患者さまからのご要望やニーズには柔軟な対応を心掛けておりますので、ぜひお気兼ねなく歯並びについてご相談ください。
常に清潔を保ち、患者さまに緊張せずリラックスしていただく環境にも心がけております。
安心してご相談にいらしてください。
口コミのご紹介が多いのが信頼の証しです
巣鴨や池袋、文京区や板橋区付近で矯正歯科をお探しの方は、巣鴨や池袋よりひとつ隣駅の大塚たまみ矯正歯科へご相談ください。
巣鴨や池袋から山手線の電車で一駅の大塚駅からすぐの場所にございます。
JR山の手線の大塚駅より徒歩ですぐ場所にあり、お仕事帰りや学校の帰り等にも気軽にお越しいただけます。
大塚たまみ矯正歯科は、お顔立ちの改善も矯正治療計画に含んでまいります。 大塚たまみ矯正歯科は、なるべく非抜歯矯正治療計画をこころがけておりますが、精密検査後に判断いたします。
大塚たまみ矯正歯科では、20年以上矯正治療に携わってきた院長ががしっかりと矯正治療に専念いたします。安心してご相談ください。
ぜひお気軽にフォームやお電話にてご連絡をよろしくお願いします。
巣鴨や池袋、文京区周辺で矯正歯科医院をお探しなら当院へお越しください
| 店舗名 | 大塚たまみ矯正歯科 |
|---|---|
| 住所 |
〒170-0004 東京都豊島区北大塚3-32-21 クリエイトスペース大塚2F (R8 8月から)〒170-0002 東京都豊島区巣鴨1-2-1 tamami building (受付 2階) |
| 電話番号 | 03-6875-5195 |
| 営業時間 |
平日 10:00~13:00 14:30~ 18:30 土曜日 9:30~ 12:30 13:30~ 17:30 |
| 定休日 | 日曜日 祝日 隔週土曜日(土曜診療の場合の翌月曜休診) |
| 最寄駅 | JR線大塚駅(北口) |
| お気軽にお電話ください |
|---|
| 03-6875-5195 03-6875-5195 |
| 平日 10:00~13:00 14:30~ 18:30 土曜日 9:30~ 12:30 13:30~ 17:30 |
| 〒170-0004 東京都豊島区北大塚3-32-21 クリエイトスペース大塚2F (R8 8月から)〒170-0002 東京都豊島区巣鴨1-2-1 tamami building (受付 2階) |
巣鴨や池袋、文京区や板橋区近くの大塚たまみ矯正歯科をぜひご利用ください
巣鴨や池袋、文京区や板橋区近くで矯正歯科をお探しの方は、巣鴨駅や池袋よりひとつ隣駅の大塚たまみ矯正歯科へご相談ください。
歯並びや咬み合わせをしっかりと矯正治療で改善させるとともに、お顔立ちの改善も矯正治療計画に含んでまいります。
大塚たまみ矯正歯科では、矯正後に思いっきり笑っていただけるように努力いたします。
大塚たまみ矯正歯科は 緊急処置にも対応しておりますので、安心して通院なさってください。
最寄りである大塚駅からも徒歩ですぐでアクセスも大変良好となっております。
ご予約は電話やフォームにて受け付けておりますので、ぜひお気兼ねなくご連絡ください。
池袋付近で矯正歯科をお探しの方は、巣鴨や池袋よりひとつ隣駅の大塚たまみ矯正歯科へご相談ください。
ぜひ、お気軽にお問い合わせください。
池袋や巣鴨、文京区、板橋区付近で歯を守る矯正歯科をお探しの方へ
2023/04/18
板橋区近隣の歯を守る矯正歯科なら当院の認定医をご利用ください 板橋区よりひとつ隣駅の大塚たまみ矯正歯科では、日本矯正歯科学会認定医の女医の院長が初診カウンセリングで今までの経験を活…巣鴨や池袋、文京区や板橋区近くで歯を守る矯正治療を行う矯正歯科をお探しの方はぜひ当院へ
2023/04/18
巣鴨や池袋、文京区や板橋区近くの歯を守る矯正歯科なら当院の認定医をご利用ください 巣鴨や池袋、文京区や板橋区近くの大塚たまみ矯正歯科では、20年以上矯正治療に携わってきた矯正治療経験…巣鴨や池袋、文京区や板橋区近くで丁寧で安心な矯正歯科をお探しの方は大塚たまみ矯正歯科へ
2023/04/18
巣鴨や池袋、文京区や板橋区近くの大塚たまみ矯正矯正歯科は子供から大人まで安心して矯正治療に通っていただけます 巣鴨や池袋、文京区や板橋区近くにある大塚たまみ矯正歯科では、20年以上矯…巣鴨や池袋、文京区や板橋区近隣で歯科矯正用アンカースクリュー(デュアル・トップオートスクリュー)を利用する矯正治療を行う大塚駅の大塚たまみ矯正歯科
2023/04/18
池袋の大塚たまみ矯正歯科は、歯科矯正用アンカースクリューを用いた歯を抜かない矯正計画の立案する矯正治療に実績がございます。歯科矯正用アンカースクリューを用いた矯正歯科をお探しでしたらぜひ、大塚たまみ矯正歯科にご相談ください。